Orthdontic treatment in Marbella carried out by the Best Orthodontist in Marbella, Dr. Adrian

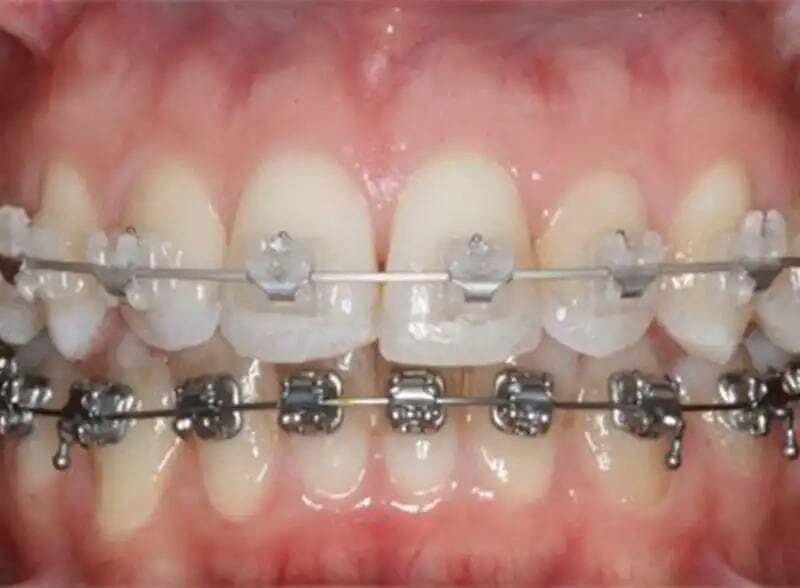
Metal braces

White ceramic braces

Gold braces on the inside

invisalign-orthodontics
What makes our braces in Marbella better?

Self-ligating brackets
Kept in place by a clip
- less metal in mouth
- cleaner and better looking
- less food traps
- less chance of decay/gum problems

Old-type brackets
Need metal wire or elastic around each bracket
- cuts and discomfort
- uglier and bulkier
- bad breath
- elastics straining
.webp?width=800&height=588&name=light-grey-orthodontics%20(1).webp)
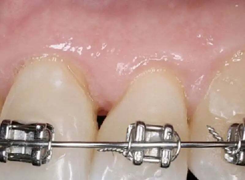
Light grey wire

Dark metal wire

Smart wire
Only works at body temperature. Drink a glass of cold water for instant relief! Self-straightening.

Old wires
No pain relief properties, requires kinks and bends.
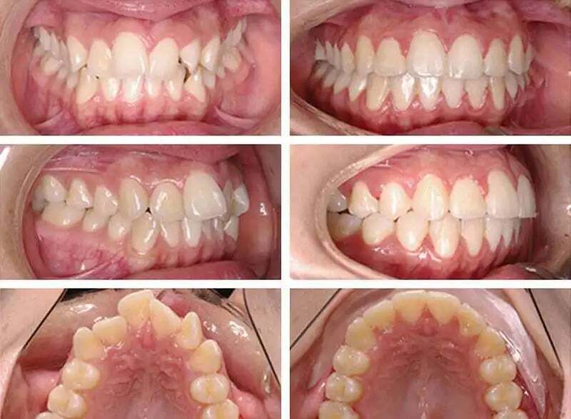
What’s the process of orthodontics in Marbella?
1 We start with a comprehensive Orthodontic Study

3D Full Face X-Ray

Professional HD Photos

Stone Dental Models
2 Analysis and Facially-driven aesthetic planning



3 Place Top Braces

4 Place Bottom Braces
.webp?width=800&height=588&name=light-grey-orthodontics%20(1).webp)
5 Adjustments every 1-3 months

6 Keep your teeth straight forever with retainers



What are removable orthodontic plates used for?
You may have seen some pre-teen kids with a removable orthodontic plate and be wondering, when does my child need those as opposed to braces? Well, it’s quite simple. With removable orthodontic plates in our Marbella orthodontic clinic we can encourage your child’s growing face bones to grow in the way we want so that their teeth may become straight. It’s not for everyone and there are thousands of different plate types, so come in for your free orthodontic consultation with Marbella's best orthodontist, Dr. Adrian, and we’ll let you know if these may be right for your child.
What makes Dr. Adrian the best orthodontist in Marbella?
Dr. Adrian Carbajosa Fernandez
The Best Orthodontist in Marbella
Masters of Orthodontics and Dento-Facial Orthopaedics
20 years+ of experience as a specialist orthodontist.
Graduated as a Specialist Orthodontist in 2006.
- Taught Orthodontics at the University of Seville.
- Member of the Spanish Society of Orthodontics Specialist (AESOR).
- Active member of the Spanish Society of Orthodontics (SEDO).
- Member of the Spanish Society of Periodontology (SEPA).
- Master teacher and collaborator of Periodontology and osseointegration of the University of Seville.
- Associate teacher, Masters in advanced aesthetics and dental oral rehabilitation institute in Barcelona.
- Author and co-author of plural articles in national journals.
- Author and co-author of various oral comunications in national and international scientific conferences.
- Lecturer at numerous courses nationally.
Visit Dr. Adrian's Instagram Page by Clicking Here
Frequently Asked Questions About Orthodontics in Marbella
Are there age restrictions for orthodontic treatment at your clinic?
Orthodontic treatment is not limited by age; both children and adults can benefit from it. The suitability of treatment depends on individual factors.
Do you offer clear aligners or Invisalign?
Yes, we provide clear aligner treatments, including Invisalign, as a discreet and effective way to straighten teeth without traditional braces. We also work with the brand SureSmile. Both clear aligner systems are excellent and world-leading.
What is the average duration of orthodontic treatment, and can it vary based on my case?
The duration varies depending on the complexity of your orthodontic issues. On average, treatment can take anywhere from 12 to 24 months. During your consultation, we will provide a more accurate estimate.
What should I expect during my orthodontic consultation?
During your consultation, our orthodontist will conduct a thorough examination, discuss treatment options, and address any questions or concerns you may have. We'll create a customized treatment plan tailored to your needs.
Are there post-treatment instructions for maintaining my orthodontic results?
Yes, we will provide you with detailed post-treatment care instructions, which may include wearing retainers and scheduling follow-up appointments to ensure your new smile stays in optimal condition.
Book an Orthodontic Appointment
Price range
Orthodontic treatment in Marbella can start from 700€ for simple cases using removable appliances, to around 4000€-4900€ for very complex cases with fixed braces. Most people however are somewhere around the 3800€ mark.
Invisalign in Marbella typically ranges between 3950€ & 4950€, but can also be much less for Invisalign First (for children).