premium marbella smile makeovers
Portfolio
Real smile makeovers by our specialist team — every case unique, every result natural
Full Smile Makeover — 24 Porcelain Veneers & Onlays
Complete upper arch transformation with premium porcelain veneers. Natural proportions, warm shade selection to complement skin tone.
Full Smile Makeover – 24 Porcelain Veneers & Crowns
Correction of uneven, discoloured teeth with 24 hand-layered porcelain veneers. Natural translucency preserved using the cut-back technique.
Upper Arch Smile Makeover – 10 Porcelain Veneers
Upper Arch Smile Makeover – Teeth brightened and reshaped for a more youthful, balanced appearance.
Full Smile Makeover – 20 Porcelain Veneers
Reversing wear and reincorporating beautiful feminine curves back into the teeth for renewed youthfulness
Smile Makeover — Worn Dentition
Severely worn teeth restored to full function and beauty. Bite reopened and teeth were rebuilt with premium porcelain restorations.
Full Mouth Rehabilitation
Complex full-mouth reconstruction combining crowns, bridges, veneers, and implants. Over 24 teeth restored for a complete transformation.
Natural Upper Arch Transformation
Conservative approach with minimal tooth preparation. Ultra-thin porcelain laminates bonded to preserve maximum natural tooth structure.
Full Smile Makeover - 24 Porcelain Veneers & Restorations
Hollywood smile makeover with hand-crafted veneers
Full Smile Makeover including Implants
A combination of veneers, crowns and implants for a more uniform and harmonious smile
Upper Arch Smile Makeover
Stunning transformation with 10 porcelain veneers, reestablishing feminine anatomy and proportion
Upper Arch Smile Makeover
Natural porcelain veneers indistinguishable from perfect healthy human teeth
Natural Composite Bonding
Upper arch restored conservatively and quickly with natural-looking composite veneers.
Upper Veneers & Implant
9 uppers and 1 crown over an implant on a central incisior, with everything matching and blending together harmiously
Full Smile Makeover - 20 Porcelain Veneers
A natural male-appropriate smile makeover to harmonise and youthify the smile, as well as closing gaps in between the lower teeth
Hollywood Smile Composite Bonding
For a patient wanting the classic Hollywood smile - very white and symmetrical teeth for a dramatic impact
Natural Hollywood Smile Makeover
A dramatic improvement in both symmetry and colour for an extremely complex case for a patient wanting a much whiter and more perfect smile.
Full Smile Makeover - 24 Porcelain Veneers
A stunning improvement in colour and form for teeth that were no longer responding to whitening and the patient was seeking a permanent solution.
Natural Smile Makeover
It's almost impossible to guess that these are even veneers, which is something most men of sophistication are seeking these days.
Natural Composite Bonding
Improved colour and form to a graceful degree, with natural composite veneers done in just one appointment.
Non-Fake Smile Makeover
A stunningly natural rebalancing of the smile with hand-crafted porcelain veneers.
Full Smile Makeover - 20 Porcelain Veneers
Using a minimal prep technique as the patient had already lost a lot of enamel, we barely touched the remaining enamel to achieve this natural outcome.
Natural Composite Bonding
Enhanced balance and proportion using a no prep, conservative approach.
Full Smile Makeover - 20 Porcelain Veneers
A smile that was previously 'hiding' due to lip augmentation is now more visible for a more radiant facial countenance.
Full Smile Makeover - 20 Porcelain Veneers
A more visible smile after the previous teeth were collapsed inwards.
Full Smile Makeover - 20 Porcelain Veneers
Yellowing teeth no longer responding to whitening were permanent restored to a brighter tone, and less worn appearance.
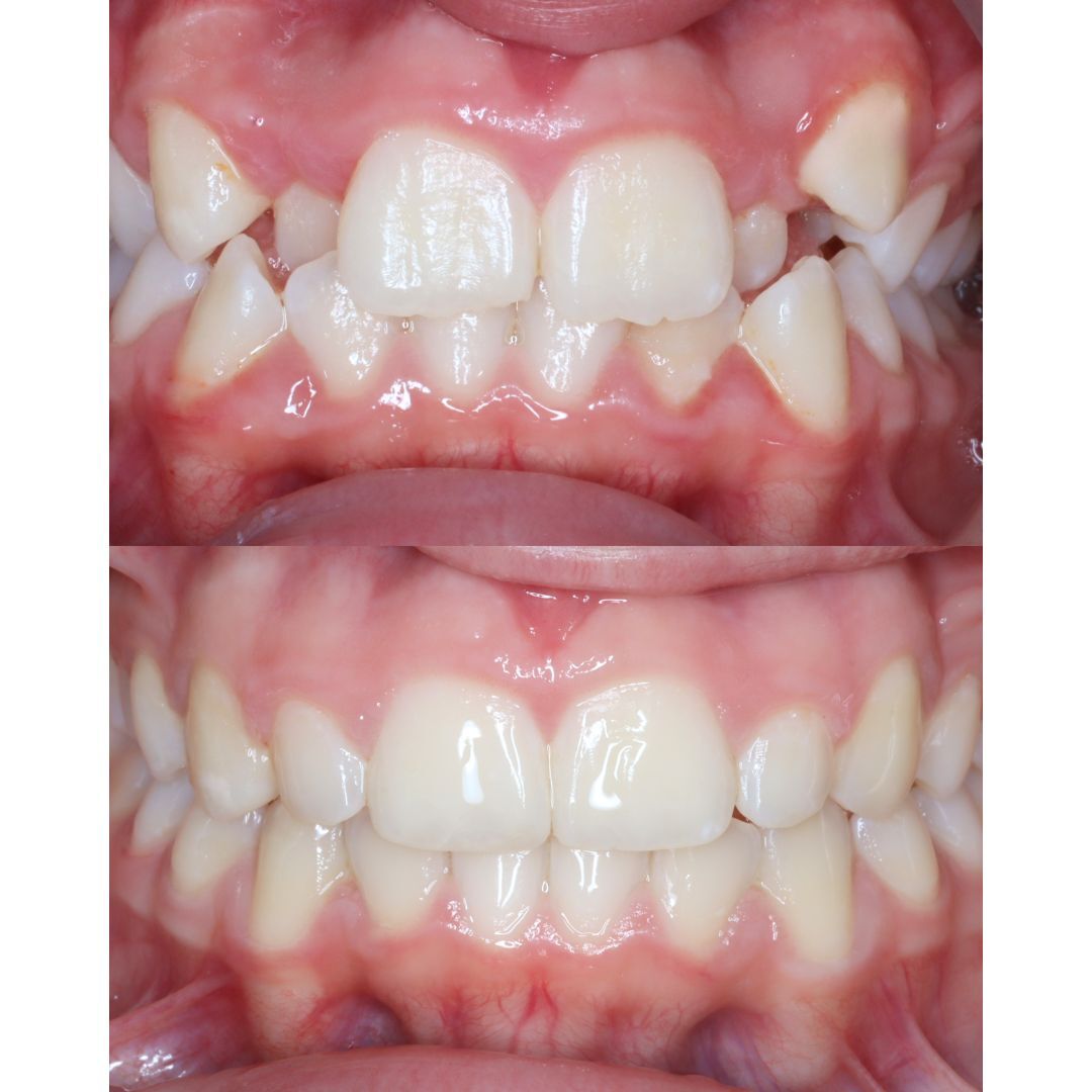
Orthodontic Alignment
Straigthening of a complex case, including bring forward in the smile many teeth like the laterals which were in a cross-bite position.
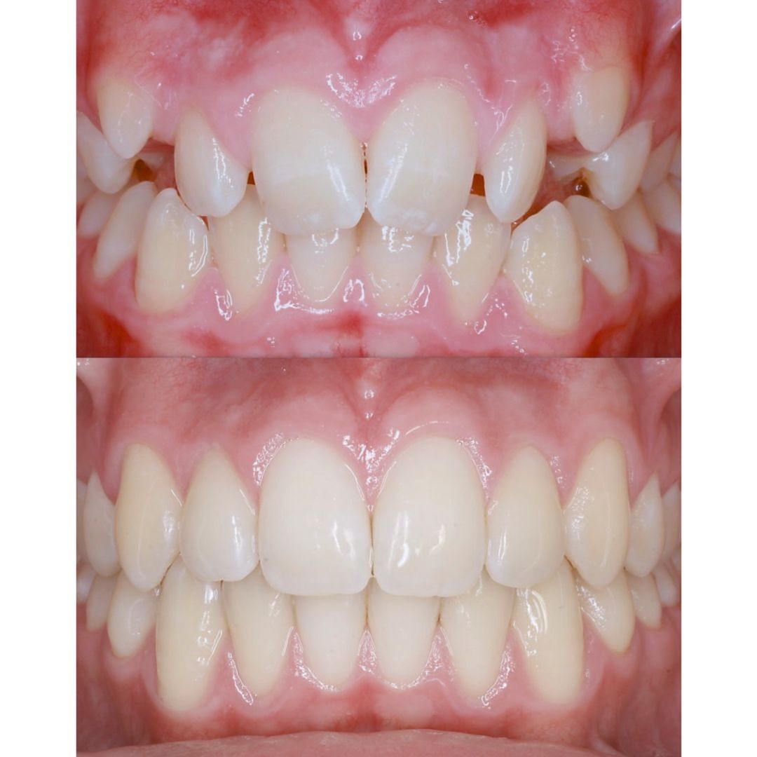
Orthodontic Alignment
Incredible transformation restoring harmony and balance to the smile.
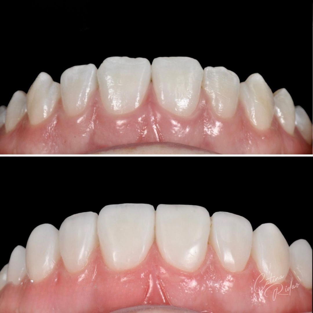
Orthodontic Alignment
Bringing the canines into their correct position and restoring overal smile balance.
Minor Corrections with Composite Bonding
A natural and minimally-invasive intervention with natural composite bonding on selective teeth.
Natural Composite Bonding
Immediate balance and harmony achieved in a smile in just one appointment with natural composite bonding
Balance through Composite Edge Bonding
A minimally-invasive approach to balance the symmetry of the smile and to restore ideal proportions.
Composite Edge Bonding
Worn teeth restored to their original proportions through a minimal intervention using composite edge bonding.
Transform your Smile | Revive your Confidence
Every transformation begins with a free consultation. Our specialists will assess your needs, discuss your options, and create a personalised treatment plan — all with transparent pricing and no obligations.
Ready to Transform Your Smile?
Book your free consultation with our specialist team